
动画片里卡通人物的眼球经常能“夺眶而出”,陈先生怎么也想不到,这样的事情有一天竟会发生在自己身上……
酒后意外摔倒
男子眼球脱出眼眶
前不久,陈先生和朋友聚餐,当晚,喝了酒的他独自散步回家。不料路过一处台阶时,他脚下一空,重重摔在地上。等他回过神来后,发现自己的一只眼睛动不了,也看不见东西,立即前往医院求助。
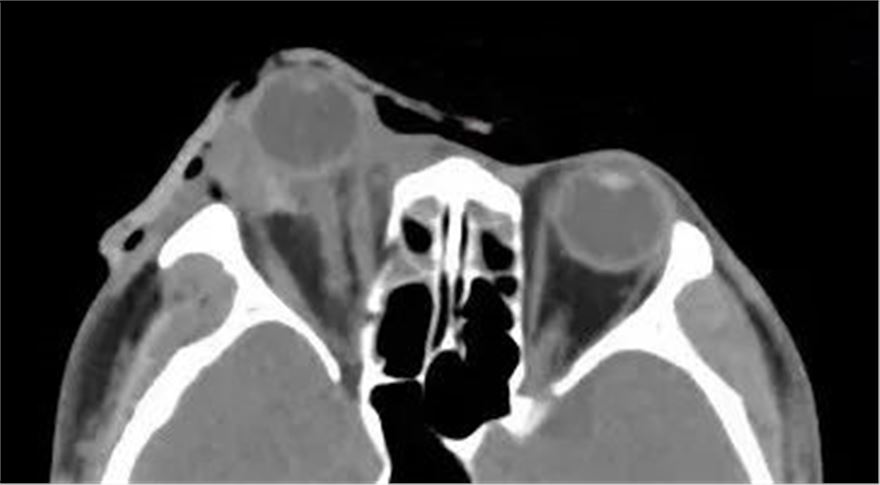
据厦门眼科中心眼外伤及眼底病二科副主任医师吴东海回忆,接诊时,陈先生的右眼眼球脱出眼眶,肿胀充血,眼睛无法正常闭合。他的视力几乎丧失,眼球上下方都有大面积的结膜裂伤。辅助检查的影像学结果显示,陈先生的伤眼近一半已脱出眼眶,眼球壁上还有星星点点的异物存留。
眼球脱出的医学影像示例
所幸陈先生视神经、眼外肌肉未发生断裂,眼球壁也未破裂,但他的状况依然危急。为防止角膜长时间暴露,医生立即对陈先生的伤眼做了包扎处理。待陈先生的身体状况稳定后,医生通过手术将陈先生的眼球还纳。
经过一周的救治与恢复,陈先生右眼眼球消肿回退,已能闭合自如。角膜逐渐恢复透明,裂伤也开始愈合,眼球已能向各个方向自由转动。出院时,他的视力已提升至0.6,目前已无大碍。
眼球一旦脱出怎么办?
吴东海介绍,眼球脱臼是一种严重的眼科急症,多由外伤导致,临床上并不多见。陈先生送医及时,为后续挽回视功能争取了宝贵的时间,且视神经未受损,未发生眼球破裂,经过紧急救治,其视功能恢复良好。
那么,一旦发生眼球脱出怎么办?
切记不要挤压眼球,不要揉眼睛,更不要自行将眼睛送回眼眶。可用抗生素眼膏局部涂抹于角膜表面保护角膜,同时用干净的纱布轻盖眼部,并立即到医院就诊,等待专科医生的诊治,以便最大限度地恢复视功能。
让陈先生“大跌眼睛”的根本原因是聚餐时喝的酒,酒精会麻痹人的神经系统,降低人的反应速度、判断力和协调能力。
喝酒后千万别做“四件事”
酒后千万别倒头就睡
很多人在饮酒后会呕吐,若睡姿不当,易导致呕吐物反流回到气管中,轻则会发生吸入性肺炎,重则堵塞气管窒息而亡。因此,喝酒后不要仰卧睡觉,侧卧是酒后的最佳睡觉姿势。
酒后不要立刻洗澡
洗热水澡或蒸桑拿易导致热气聚在人体内无法散发,加重醉态,导致呕吐甚至晕厥。洗冷水澡非但不能醒酒,还会刺激血管,易使血管发生收缩,甚至出现破裂。
酒后不要喝咖啡、浓茶、碳酸饮料
酒后喝咖啡会增加心血管负担,对患高血压、心脏病的人尤为不利。酒后喝浓茶会促进尚未分解的乙醛过早地进入肾脏,对肾脏产生危害。酒后喝碳酸饮料会加快酒精吸收,还可能诱发急性胃炎等疾病。
酒后若意识尚清醒,可饮用温开水、牛奶或淡盐水,有利于身体内的酒精稀释并加速排泄。
酒后不要运动
酒精具有利尿作用,饮酒后体内水分流失更多,容易发生脱水,此时再运动会加重脱水危险。酒后游泳也很危险,会使身体散热突然加快,易发生头晕、低血糖性晕厥、腿部抽筋等现象。
在此提醒,生活中亲朋好友相聚免不了饮酒助兴,务必注意适量适度。一旦喝酒,牢记不做“四件事”,饮酒后避免单独行动,对于醉酒者应有专人看护,谨防意外发生。
版权声明:凡注明来源为"港湘新闻网"的所有作品,版权归本网站所有。任何媒体转载、投稿、引用,需注明来源"港湘新闻网",否则将追究相关法律责任。
云标签 点击对应标签查看更多相关资讯!